Hollywood Smile
Velkommen til vores Hollywood Smile behandling, hvor drømmen om et strålende smil bliver til virkelighed. Hollywood Smile er ikke kun for stjernerne; det er for alle, der ønsker et smukt og fejlfrit smil. Vores specialister er dedikerede til at give dig det smil, du altid har drømt om, og forvandle dit udseende til noget, der får dig til at stråle.
Høj faglighed
Trygge rammer
Dansk kontakt person
Behandlingsgaranti og lave priser
Ofte stillede spørgsmål
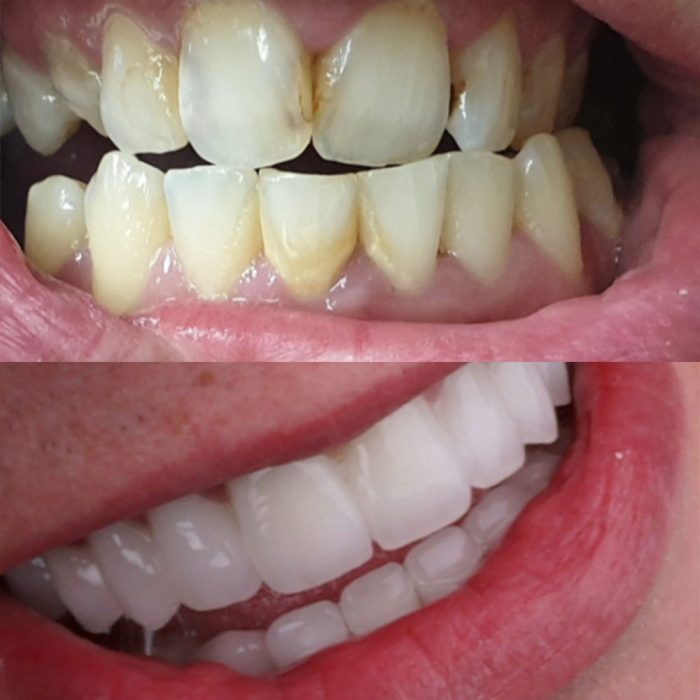
Hollywood Smile er en avanceret tandbehandlingsproces designet til at forbedre æstetikken og udseendet af dit smil. Denne skræddersyede behandling kombinerer flere teknikker, herunder tandblegning, tandretning, og æstetisk tandpleje for at give dig et smil, der vil imponere alle omkring dig.
Et Hollywood-smil henviser til en omfattende tandbehandling, der har til formål at skabe et smukt og strålende smil, ofte forbundet med berømtheder. Det involverer typisk forskellige kosmetiske tandbehandlinger for at forbedre tændernes udseende og opnå et mere symmetrisk, hvidt og tiltalende smil.
Almindelige behandlinger for et Hollywood-smil inkluderer tandblegning for at lysne tændernes farve, tandfacader for at forbedre tandform og udseende, tandkroner for at genoprette beskadigede tænder, tandimplantater for at erstatte manglende tænder samt andre æstetiske procedurer efter behov.
Et Hollywood-smil kan overvejes for personer, der ønsker at forbedre deres smil. Dog varierer egnetheden af specifikke behandlinger baseret på en persons tandhelbred, tilstanden af deres tænder og deres ønskede æstetiske mål. En konsultation med en tandlæge er afgørende for at fastlægge den bedste tilgang.
Den tid, det tager at opnå et Hollywood-smil, varierer afhængigt af de valgte behandlinger. Tandblegning kan ofte udføres på én gang, mens andre procedurer som tandfacader eller tandimplantater kan kræve flere aftaler over flere uger.
Varigheden af et Hollywood-smil afhænger af den type behandlinger og individuel mundpleje. Tandblegning kan kræve opfriskninger for at bevare lysheden, mens facader og kroner kan vare mange år med ordentlig pleje og regelmæssige tandlægekontroller.
Potentielle risici kan omfatte tandfølsomhed efter tandblegning, let tandfølsomhed efter visse procedurer samt behovet for justeringer eller udskiftninger af facader, kroner eller implantater over tid. En erfaren tandlæge minimerer disse risici.
Omkostningerne ved at opnå et Hollywood-smil varierer afhængigt af de valgte behandlinger, sagens kompleksitet, geografisk beliggenhed og tandlægens ekspertise. Det er vigtigt at drøfte omkostninger og betalingsmuligheder under konsultationen.
Procedurerne for et Hollywood-smil udføres typisk under lokalbedøvelse for at minimere ubehag. Patienter kan opleve let ømhed eller ubehag efter procedurerne, men dette kan håndteres med smertestillende medicin, der fås uden recept.
Snak med en ekspert
Book et møde med en ekspert helt uden omkostninger og hør mere om dine muligheder



-
Flotte, hvide og lige tænder
-
Styrker din selvtillid
-
Dygtige tandlæger i Tyrkiet
-
Specialister i tandbehandlinger
-
Få hjælp med det praktiske
Fordele ved Hollywood Smile:
- Forbedret Selvtillid: Et strålende smil øger din selvtillid og giver dig mulighed for at stråle i enhver situation.
- Æstetisk Perfektion: Hollywood Smile hjælper med at rette op på skæve tænder, misfarvninger og andre æstetiske problemer.
- Personlig Tilpasning: Behandlingen tilpasses dine unikke behov og ønsker for det perfekte smil.
- Langvarige Resultater: Nyd dit Hollywood Smile i mange år fremover og fortsæt med at imponere.
Er du klar til at begynde din rejse mod et strålende smil? Kontakt os i dag for en konsultation og lad vores eksperter hjælpe dig med at opnå den skønhed, du fortjener.